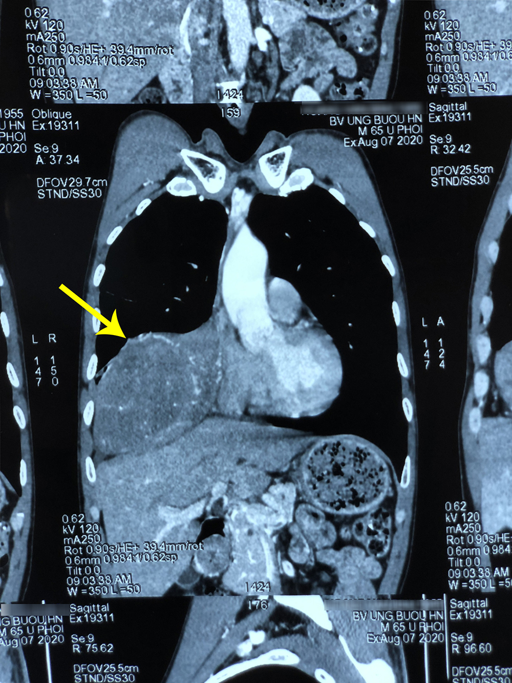
Đó là trường hợp của bệnh nhân H.V.B, 65 tuổi, trú tại Phú Xuyên, Hà Nội. Ông B. cho biết, cách đây khoảng 2 tháng, ông thấy đau nhói bên ngực phải mỗi lần nằm nghiêng và trở mình. Tình trạng đau tức ngày càng tăng gây mệt mỏi nên ông B. quyết định đi khám và được chẩn đoán u phổi phải. Kết quả chụp cộng hưởng từ và cắt lớp vi tính cho thấy phổi phải có khối u kích thước 11x18cm ở vị trí xuất phát tại màng phổi vùng vòm hoành phải đè ép các thùy phổi, xung quanh có tổn thương dạng đông đặc, gây xẹp phổi. Nếu không phẫu thuật sớm, u phát triển lớn sẽ chèn ép gây đau đớn, tức ngực, khó thở và xẹp phổi phải, nếu chèn ép vào trung thất còn có thể ảnh hưởng đến nhịp tim.

Hình ảnh khối u chiếm 2/3 thể tích phổi phải
TS.BS Phan Lê Thắng – Phụ trách Đơn nguyên Ngoại Theo yêu cầu nhận định đây là một ca phức tạp do kích thước khối u lớn, nhiều mạch nuôi, gây tăng sinh mạch máu, dính các tạng xung quanh khiến quá trình phẫu thuật gặp nhiều khó khăn trong việc cầm máu và lấy u ra. Các ca mổ lồng ngực có đặc thù đường mổ hẹp, chỉ có thể rạch một khoang nhỏ giữa khe hai xương sườn để đưa dụng cụ phẫu thuật vào cắt u và cầm máu. Do đó, phẫu thuật viên cần có kinh nghiệm và tay nghề chuyên môn cao để có thể thực hiện các thao tác một cách chính xác, tránh gây mất máu ồ ạt đe dọa đến tính mạng người bệnh.
Với kinh nghiệm dày dặn của phẫu thuật viên, công tác chuẩn bị và hội chẩn kĩ càng trước mổ, ca phẫu thuật đã diễn ra thuận lợi, bệnh nhân không cần truyền thêm máu. Sau 3 ngày phẫu thuật, bệnh nhân đã được rút ống dẫn lưu, hết đau tức ngực, có thể ăn uống và đi lại bình thường.

Khối u hiếm gặp trong lồng ngực sau khi được lấy ra
Kết quả giải phẫu bệnh cho thấy khối u là loại u xơ đơn độc màng phổi (Solitary Fibrous Tumors). U xơ đơn độc màng phổi là một dạng tổn thương ít gặp thường xuất phát từ lớp tế bào cận trung biểu mô, chiếm khoảng <5% các khối u ở màng phổi. thường không gây triệu chứng lâm sàng trong giai đoạn sớm và chỉ phát hiện tình cờ khi chụp phim x-quang phổi định kỳ. tăng kích thước chèn ép cơ quan xung quanh, khiến bệnh nhân đến khám sở y tế là đau, nặng ngực, ho, khó thở, nuốt khó. vì vậy, bác sĩ khuyến cáo người dân cần sức khỏe kỳ tầm soát ung thư để kịp thời điều trị sớm.< />pan>
TS.BS Phan Lê Thắng – Phụ trách Đơn nguyên Ngoại Theo yêu cầu



















