Bệnh nhân Ngô Văn S., 59 tuổi, trú tại Hoàng Mai – Hà Nội mắc ung thư gan, khối u có đường kính 6 cm, lồi khỏi mặt dưới gan trái, đã được nút mạch hóa chất cách đây 3 tháng, sức khỏe ổn định. Đến sáng chủ nhật ngày 8/12/2019, bệnh nhân được người nhà đưa đến Bệnh viện Ung Bướu Hà Nội trong tình trạng đau bụng dữ dội vùng thượng vị, hoa mắt chóng mặt, da nhợt nhạt, mạch nhanh 140 lần/phút, huyết áp tụt còn 90/70 mmHg.
Qua siêu âm, các bác sĩ phát hiện có nhiều máu trong ổ bụng bệnh nhân. Kết quả chụp cắt lớp vi tính cho thấy, khối u gan kích thước hơn 6 cm thâm nhiễm nhu mô gan trái đã vỡ, còn đang có dấu hiệu chảy máu, tạo khối máu tụ lớn khoang hậu cung mạc nối, nhiều dịch máu quanh gan và tiểu khung, chỗ dày nhất 6 cm. Bệnh nhân được chẩn đoán sốc mất máu do u gan vỡ, nguy cơ tử vong cao. Trước tình huống nguy kịch của bệnh nhân, BSCKII.Nguyễn Đình Hướng – Trưởng Khoa Chẩn đoán hình ảnh đã hội chẩn cấp cứu và quyết định thực hiện kỹ thuật nút tắc động mạch gan để cầm máu u gan vỡ trên hệ thống máy chụp mạch số hóa xóa nền (DSA). Các bác sĩ khoa Chẩn đoán hình ảnh, Phẫu thuật – Gây mê Hồi sức đã khẩn trương sắp xếp hệ thống và tiến hành thủ thuật nhanh nhất có thể để “chạy đua” với “tử thần”.

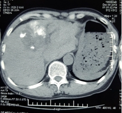
Ảnh 1: Hình ảnh khối u gan hạ phân thùy IV bị vỡ gây khối máu tụ lớn quanh gan trái
Bác sĩ Hướng cho biết: “Nếu không được xử trí ngay, bệnh nhân sẽ bị mất máu ồ ạt trong ổ bụng dẫn đến tử vong chỉ trong thời gian ngắn. Nút mạch gan là chỉ định hàng đầu để xử trí trong trường hợp này nhằm cứu sống bệnh nhân. Kỹ thuật can thiệp nút mạch sẽ bít tắc được mạch máu bị vỡ (nguyên nhân chảy máu), giúp bệnh nhân cầm máu tức thì, tránh nguy cơ tử vong. Hơn nữa, vị trí luồn thiết bị can thiệp kích thước nhỏ như vết tiêm truyền mạch máu, ít gây đau đớn, không để lại sẹo và thời gian hồi phục sức khỏe sau thủ thuật của bệnh nhân nhanh, ít tai biến so với các phương pháp điều trị khác.”

Ảnh 2: Hình ảnh động mạch thân tạng chụp bằng máy chụp mạch số hóa xóa nền: động mạch gan trái và phải còn đang có dấu hiệu chảy máu ra ngoài gan.
Ca phẫu thuật diễn ra trong khoảng 30 phút. Sau khi nút tắc động mạch mạch gan, huyết động của bệnh nhân ổn định ngay. Huyết áp tăng lên 110/70 mmHg, mạch đo được 100 lần/phút. Theo dõi sau 1 tuần, mạch và huyết áp đều ổn định, chụp cắt lớp vi tính kiểm tra lại thấy động mạch gan trái và phải tắc hoàn toàn, khối u không còn tăng sinh mạch, không còn dấu hiệu chảy máu ra ngoài khối u, lượng máu tụ trong ổ bụng đã giảm 50%.
Trải qua cơn “thập tử nhất sinh”, ông Ngô Văn S. chia sẻ: “Lúc vào viện tôi đau bụng quằn quại, cứ nghĩ mình sắp chết đến nơi. Rất may, tôi đã được các bác sĩ đưa đi cấp cứu rất nhanh, kịp thời cứu sống. Giờ sức khỏe tôi đã ổn hơn nhiều, ăn uống tốt rồi.”

Ảnh 3: Bệnh nhân S. tươi tỉnh sau 1 tuần được phẫu thuật cấp cứu
Chụp và nút động mạch dưới máy chụp mạch số hóa xóa nền là kỹ thuật hiện đại trong điều trị bệnh lý khối u khi không có chỉ định can thiệp bằng phẫu thuật hoặc tiến hành trước phẫu thuật để tạo thuận lợi tránh các biến chứng chảy máu trong cuộc mổ cho bệnh nhân, mang lại nhiều cơ hội cứu sống người bệnh ung thư, nhất là ung thư gan. Đây là kỹ thuật nút mạch cấp cứu tương đối phức tạp, đòi hỏi bác sĩ điện quang can thiệp phải có kinh nghiệm và kĩ năng chuyên sâu, bài bản, trang thiết bị - vật tư y tế hiện đại đầy đủ và đồng bộ sẽ giúp bệnh nhân tránh được ca đại phẫu với thời gian nằm viện điều trị dài ngày, nguy cơ tử vong do mất máu và các biến chứng hậu phẫu. Kỹ thuật này ưu việt hơn rất nhiều so với trước đây, để điều trị u gan vỡ chảy máu cấp ổ bụng, bệnh nhân phải trải qua cuộc đại phẫu nặng nề, mất máu, vết mổ hở gây đau đớn, thời gian nằm viện kéo dài, tai biến trong cuộc mổ cũng như hậu phẫu phức tạp, hay gặp hơn.
Kỹ thuật điện quang can thiệp đã được thực hiện thường quy từ nhiều năm nay tại Bệnh viện Ung Bướu Hà Nội, áp dụng cho rất nhiều các bệnh lý của các cơ quan bộ phận khác nhau như: u gan, u xơ tử cung, các u máu hàm mặt, các u máu phần mềm, các can thiệp tiết niệu và đường mật .... và rất nhiều các bệnh lý khác giúp bệnh nhân tránh được các cuộc đại phẫu nguy hiểm, nâng cao tỉ lệ cứu sống người bệnh, giảm chi phí và thời gian nằm viện.
BSCKII. Nguyễn Đình Hướng - Trưởng Khoa Chẩn đoán hình ảnh



















