Bệnh nhân là bà T.T.Đ., cư trú tại Thường Tín (Hà Nội), từng phẫu thuật cắt u thùy trái tuyến giáp năm 2007 và được theo dõi định kỳ với chẩn đoán u lành. Đồng thời, 10 năm nay, bệnh nhân điều trị suy tim độ III, uống thuốc theo đơn của Bệnh viện Tim Hà Nội. Gần đây, bà thấy u vùng cổ to dần, thỉnh thoảng khó thở nhẹ thì có đi khám nhưng không điều trị gì và tiếp tục theo dõi. Trước khi vào viện 2 ngày, bệnh nhân nuốt vướng, khó thở rít nhiều, tăng dần, phải ngủ ở tư thế ngồi. Sau khi được chuyển từ Bệnh viện Tim Hà Nội sang Bệnh viện Ung Bướu Hà Nội, các bác sĩ xác định bệnh nhân có khối u thùy phải tuyến giáp kích thước 6x8cm nằm chui giữa thực quản phía sau và ép khí quản phần màng phía trước. Khí quản bị kẹt giữa khớp ức và khối u nên bệnh nhân khó thở, phải sử dụng oxy hỗ trợ liên tục.
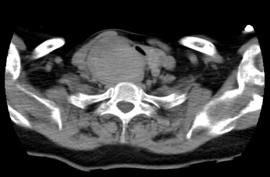
Các kết quả chụp cắt lớp cho thấy khối u chèn ép nghiêm trọng lên khí quản và thực quản, khiến đường thở chỉ còn khoảng hẹp nhất 2mm trên đoạn dài 20mm kéo dài từ góc hàm bên phải tới trung thất trên gây biến dạng giải phẫu. Đáng chú ý, khí quản của bệnh nhân bị đẩy lệch trái 2 cm, xẹp, dễ co thắt, khiến việc tiếp cận và bóc tách gặp nhiều rủi ro. Khối u tăng sinh mạch rất mạnh, nguy cơ chảy máu trong và sau phẫu thuật cao.

Hình ảnh khối u chèn ép khí quản và thực quản

Hình ảnh đường thở khoảng hẹp nhất 2mm trên đoạn dài 20mm
Ngay lập tức, một hội chẩn liên chuyên khoa giữa Khoa Ngoại Đầu cổ và Khoa Gây mê hồi sức được tiến hành. Đứng trước nguy cơ tử vong cao nếu không can thiệp, dưới chỉ đạo của Ban Giám đốc bệnh viện quyết tâm phẫu thuật cho bệnh nhân, các bác sĩ đã thống nhất phương án cấp cứu.
TS.BS. Đàm Trọng Nghĩa – Trưởng khoa Ngoại Đầu cổ nhận định: “Đây là khối u lành nhưng có vị trí rất hiếm gặp và phức tạp. Bệnh nhân lại có nhiều yếu tố nguy cơ như tuổi cao, tiền sử mổ giáp, bệnh tim mạch và viêm phổi hai bên. Toàn bộ quá trình gây mê, mổ và hồi sức đều cần sự cẩn trọng tối đa.”
Theo BSCKII. Hà Kim Hảo, Trưởng khoa Gây mê hồi sức, việc đặt nội khí quản gây mê gặp thách thức lớn do khí quản di lệch nhiều, đường thở quá hẹp, phải sử dụng ống nội khí quản kích thước nhỏ. Đồng thời bệnh nhân tiền sử bệnh suy tim độ III, đang điều trị thường xuyên.
Các bác sĩ đã điều trị trước mổ cho bệnh nhân thở oxy, kháng sinh, chống viêm Corticoide và chuẩn bị đầy đủ các thuốc, trang thiết bị máy móc cấp cứu và đánh giá kỹ tình trạng tim phổi trước khi tiến hành gây mê.
Ngày 26/6/2025, trong ca mổ kéo dài hơn 3 giờ, ekip phẫu thuật phải "đi ngược dòng", lần theo cấu trúc giải phẫu đã biến dạng để tiếp cận khối u. Trong quá trình mổ, các bác sĩ đã kiểm soát mạch máu, cầm máu triệt để, bóc tách tỉ mỉ để lấy trọn khối u mà không làm tổn thương thực quản, khí quản, thanh quản và đặc biệt không phải mở khí quản - điều thường xảy ra ở các ca khó tương tự. Trong mổ kiểm tra đoạn khí quản bị u thùy phải tuyến giáp chèn ép xẹp, mềm, dài 2 cm.

Ekip phẫu thuật tiến hành bóc tách khối u nằm ở vị trí khó
Sau mổ, bệnh nhân tiếp tục được an thần thở máy điều trị chăm sóc tại đơn vị hồi sức tích cực. Chỉ sau 3 ngày, bà đã có thể tự thở, ăn uống và sinh hoạt bình thường trở lại.
Trong khoảnh khắc xúc động, bà chia sẻ: “Trước ca mổ, tôi và gia đình vô cùng lo lắng. Nay được thở bình thường trở lại, tôi như sống lại lần nữa. Xin cảm ơn các bác sĩ đã cứu tôi qua cơn hiểm nghèo.”

Sau mổ 3 ngày, bệnh nhân có thể tự thở và sinh hoạt bình thường
Ca phẫu thuật thành công không chỉ cứu sống người bệnh mà còn khẳng định năng lực chuyên môn và tinh thần trách nhiệm cao của đội ngũ y bác sĩ. Đây là minh chứng cho nỗ lực của y tế chuyên sâu trong việc xử trí các ca bệnh phức tạp, với mục tiêu không chỉ là cứu sống mà còn đảm bảo chất lượng sống lâu dài cho bệnh nhân.
TS.BS. Đàm Trọng Nghĩa – Trưởng khoa Ngoại Đầu cổ



















