Tắc mật là gì?
Đôi khi dịch mật không chảy như bình thường. Dịch mật bị tắc lại này được gọi là ứ mật. Tắc nghẽn trong ống mật có thể do một số vấn đề sức khỏe bao gồm:
· Một khối u ép vào các ống dẫn mật.
· Viêm gan.
· Xơ gan (sẹo trong gan).
· Sỏi mật.
· Nhiễm trùng.
Các dấu hiệu ứ mật
Mật bị ứ lại dẫn tới:
· Hoàng đản (vàng da, mắt và móng).
· Ngứa.
· Nước tiểu sẫm màu hơn bình thường.
· Phân nhạt màu.
Dẫn lưu đường mật là gì?

Trong một số trường hợp, một ống dẫn lưu mật được đặt để giúp loại bỏ mật thừa. Ống dẫn lưu mật là một ống mỏng dẻo và rỗng. Ống này thu thập mật từ các ống dẫn mật. Khi đặt ống dẫn lưu, ống sẽ được gắn vào một túi bên ngoài cơ thể.
Trong một số trường hợp, stent được đặt thay vì ống dẫn lưu. Nếu một stent được sử dụng, nó được đặt trong ống dẫn mật để giữ cho ống mật mở và giúp dòng chảy của mật từ gan vào ruột. Việc bạn đặt stent hay ống dẫn lưu sẽ phụ thuộc vào tình trạng của bạn.
Cách đặt dẫn lưu đường mật
Dẫn lưu đường mật thường được thực hiện như một thủ thuật ngoại trú. Bạn có thể được gây mê do đó sẽ thư dãn và không nhớ quá trình làm thủ thuật. Bạn sẽ được theo dõi trong vài giờ sau khi làm thủ thuật trước khi được phép về nhà. Bạn nên nhờ ai đó chở bạn về nhà.
Cách đặt dẫn lưu đường mật sẽ phụ thuộc vào tình trạng của bạn, nhưng nói chung:
· Ruột của bạn sẽ được làm sạch và thuốc gây tê tại chỗ sẽ được tiêm với một cây kim nhỏ để làm tê da của bạn.
· Một cây kim khác được đâm qua vào da và vào ống mật trong gan.
· Thuốc cản quang được tiêm để các ống dẫn mật và gan có thể được nhìn thấy trên X-quang.
· Ống dẫn lưu mật được đặt vào ống mật để mật được dẫn ra ngoài. Ống dẫn lưu được gắn vào một cái túi.

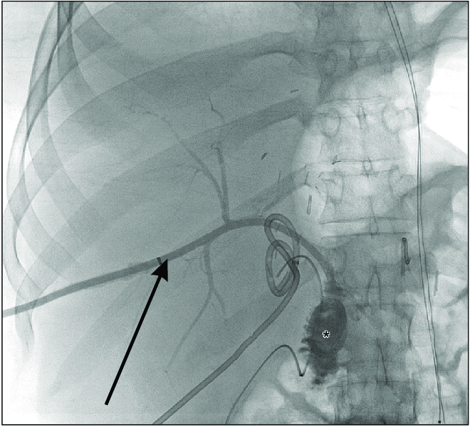
Can thiệp dẫn lưu đường mật ra da dưới hướng dẫn của điện quang
Nguồn: Percutaneous-transhepatic creation of a bilioenteric neoanastomosis in a patient with bile duct injury using cone-beam computed tomography. DOI:10.18528/ijgii180037
Những rủi ro liên quan đến việc đặt dẫn lưu đường mật là gì?
Những rủi ro của việc đặt ống dẫn lưu đường mật tương tự như bất kỳ thủ thuật nào. Chảy máu và nhiễm trùng là những rủi ro. Ngoài ra còn có nguy cơ túi mật hoặc ruột bị thủng.
Người bệnh tự chăm sóc bản thân ra sao sau khi đặt dẫn lưu đường mật?
Hãy bảo đảm nghỉ ngơi nhiều và ăn một chế độ ăn uống lành mạnh. Bạn sẽ muốn uống nhiều nước và dung dịch không chỉ để không khát mà còn để bù đắp lượng dịch bị mất qua ống dẫn lưu mật. Không ngủ nghiêng về phía có ống dẫn lưu, vì điều này có thể dẫn đến ống không thể thoát mật được. Bạn có thể trở lại hoạt động bình thường 24 giờ sau khi đặt ống dẫn lưu, nhưng cần tránh nâng bất cứ thứ gì nặng hơn 5 cân. Làm theo hướng dẫn của nhân viên y tế khi tắm rửa.
Người bệnh cần chăm sóc ống dẫn lưu đường mật như thế nào?
Bạn nên băng chỗ đặt dẫn lưu. Để thay băng, trước tiên hãy rửa tay bằng xà phòng và nước. Tháo băng ra. Làm sạch chân dẫn lưu bằng xà phòng và nước. Khi da khô, hãy đặt một miếng băng mới, sử dụng băng dính để cố định ống dẫn lưu. Hãy cẩn thận để không làm bẹp dẫn lưu bằng băng keo.
Bạn không cần phải làm gì nhiều để chăm sóc ống. Để giữ cho nó sạch sẽ, bạn có thể cần phải rửa nó bằng nước muối vô trùng. Nhân viên y tế của bạn sẽ cho bạn biết tần suất bạn cần làm điều này và sẽ hướng dẫn bạn cách thực hiện.
Túi nối với ống dẫn lưu của bạn nên được đổ đi khi nó đầy khoảng 2/3. Để đổ bỏ dịch trong túi:
· Rửa tay bằng xà phòng và nước.
· Mở lỗ thoát dịch ở đáy túi.
· Đổ hết dịch vào nhà vệ sinh hoặc vào cốc đo nếu bác sĩ của bạn muốn bạn theo dõi số lượng dịch bỏ đi.
· Làm sạch lỗ thoát dịch bằng xà phòng và nước và đóng lại.
· Rửa tay bằng xà phòng và nước.
Khi nào người bệnh cần gọi nhân viên y tế?
Gọi nhân viên y tế khi người bệnh gặp phải tình huống sau:
· Sốt hoặc ớn lạnh, có thể là dấu hiệu của nhiễm trùng. Bác sĩ sẽ cho bạn biết sốt đến bao nhiêu độ thì cần gọi cho họ.
· Vị trí chân dẫn lưu bị tấy đỏ, chảy dịch hoặc có mùi hôi.
· Đau bụng.
· Vàng da.
· Nước tiểu sậm màu.
· Không có mật trong túi dẫn lưu của bạn. Nếu điều này xảy ra, hãy đảm bảo rằng ống không bị chèn ép ở bất cứ đâu và túi nằm dưới nơi đặt ống. Bạn có thể cần tháo băng ra để kiểm tra. Nếu ống dẫn lưu bị chèn ép, hãy duỗi thẳng nó ra. Ống dẫn lưu cũng có thể cần phải được thông rửa sạch. Nếu những kỹ thuật này không hiệu quả, bạn nên gọi cho bác sĩ.
Nếu bạn có bất kỳ câu hỏi nào về ống dẫn lưu đường mật, bạn nên liên hệ với bác sĩ của mình.
Nguồn: Dịch từ www.oncolink.org
Đường dẫn: https://www.oncolink.org/cancer-treatment/hospital-helpers/biliary-drain
Biên dịch: Bs. Nguyễn Thành Hiếu, Khoa Nội vú khoa đầu cổ theo yêu cầu, Bệnh viện Ung bướu Hà Nội
Hiệu đính: Ths. Bs. Nguyễn Thanh Hằng – Phòng HTQT&NCKH



















