Bệnh nhân có tiền sử điều trị ung thư thực quản giai đoạn III vào năm 2019 tại Bệnh viện Bạch Mai, đã được hóa xạ trị triệt để và phẫu thuật cắt thực quản, vét hạch, tạo hình thực quản bằng ống dạ dày. Sau nhiều năm tái khám định kỳ, trong đợt kiểm tra gần đây tại Bệnh viện 198, bệnh nhân được phát hiện có tổn thương ác tính tại ống dạ dày – vị trí đã được sử dụng để tạo hình đường ăn trước đó.
Kết quả giải phẫu bệnh xác định: ung thư tế bào nhẫn ống dạ dày – một thể ung thư tiến triển nhanh, khó điều trị. Sau khi chuyển đến Bệnh viện Ung Bướu Hà Nội, các bác sĩ chẩn đoán: Ung thư ống dạ dày cT3N0M0 trên nền bệnh nhân từng điều trị ung thư thực quản.
Để đảm bảo điều trị triệt để, phương án được đưa ra là: cắt bỏ toàn bộ ống dạ dày, vét hạch triệt căn và tạo hình lại thực quản bằng đoạn đại tràng trái.

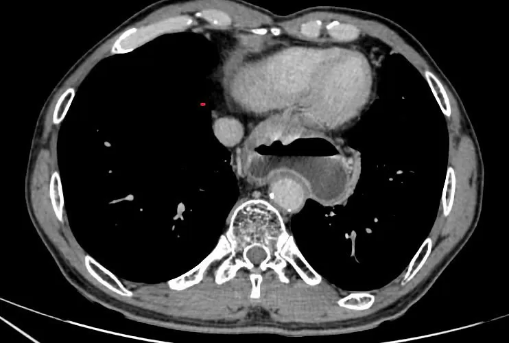
Hình ảnh tổn thương ống dạ dày trên chụp cắt lớp vi tính
Theo BSCKII. Lê Văn Thành – Phó Giám đốc bệnh viện, Trưởng khoa Ngoại Tổng hợp: Đây là một kỹ thuật phẫu thuật phức tạp, đòi hỏi sự phối hợp chặt chẽ giữa các ê-kíp: phẫu thuật tiêu hóa, gây mê hồi sức và chăm sóc sau mổ. Việc tạo hình đường ăn bằng đại tràng không chỉ cần đảm bảo độ dài, tưới máu tốt của mảnh ghép mà còn phải tính đến các yếu tố liên quan đến cấu trúc giải phẫu đã bị thay đổi do cuộc mổ trước đó.
Trong quá trình phẫu thuật, các bác sĩ đã đưa đoạn đại tràng lên ngực và cổ để nối với phần còn lại của thực quản, thay thế hoàn toàn chức năng tiêu hóa của đoạn dạ dày bị cắt bỏ.

Đoạn đại tràng được đưa lên để tạo hình thực quản
Sau mổ, bệnh nhân phục hồi tốt, ăn uống trở lại sớm, ổn định toàn trạng và được xuất viện sau 8 ngày điều trị nội trú.
Kết quả giải phẫu bệnh sau mổ cho thấy ung thư ống dạ dày ở giai đoạn III. Bệnh nhân sẽ tiếp tục được điều trị hóa chất bổ trợ để nâng cao hiệu quả điều trị toàn diện.
Ca phẫu thuật không chỉ giúp loại bỏ hoàn toàn khối ung thư mà còn duy trì được chức năng ăn uống – tiêu hóa tự nhiên cho bệnh nhân, tránh phải mở thông ruột hay sử dụng các phương pháp nuôi dưỡng thay thế kéo dài. Đây là yếu tố then chốt trong việc nâng cao chất lượng sống sau điều trị ung thư.
Việc làm chủ kỹ thuật phẫu thuật tái tạo thực quản bằng đại tràng cho bệnh nhân có tiền sử can thiệp vùng ngực – bụng là minh chứng rõ nét cho năng lực chuyên môn ngày càng cao của đội ngũ bác sĩ Bệnh viện Ung Bướu Hà Nội.
Không chỉ tập trung vào điều trị bệnh lý ung thư, bệnh viện còn hướng đến mục tiêu đảm bảo chức năng sống, chất lượng sống và khả năng tái hòa nhập xã hội của người bệnh sau điều trị – một yếu tố nhân văn ngày càng được chú trọng trong y học hiện đại.
Bệnh viện Ung Bướu Hà Nội là cơ sở chuyên khoa ung bướu tuyến cuối, với đầy đủ năng lực chẩn đoán và điều trị các bệnh lý ung bướu từ đơn giản đến phức tạp. Bệnh viện hiện đang áp dụng chính sách thông tuyến bảo hiểm y tế, vì vậy người bệnh có thể trực tiếp đến nhập viện điều trị mà không cần giấy chuyển tuyến, vẫn được hưởng đầy đủ quyền lợi BHYT theo quy định.
Bệnh viện Ung Bướu Hà Nội, tháng 9 năm 2025
Viết bài: TBS. Phan Đắc Phương - Khoa Ngoại Tổng hợp
Duyệt bài: BSCKII. Lê Văn Thành - Trưởng khoa Ngoại Tổng hợp



















