Có 4 loại UTKRNP chính, được xác định nhờ phân tích tế bào khối u dưới kính hiển vi:
Ung thư biểu mô tuyến
Ung thư biểu mô tuyến chiếm khoảng 60% các trường hợp UTKRNP. Các khối u này xuất phát từ tế bào biểu mô tuyến – các tế bào hình thành tuyến và tham gia tiết dịch. Ung thư biểu mô tuyến có thể phát triển ở hầu hết các cơ quan trong cơ thể do các tuyến tham gia vào quá trình tiết hoặc dẫn lưu các chất tiết.
Các tế bào biểu mô tuyến cũng tạo nên lớp lót bên trong của hầu hết các cơ quan nội tạng. Điều này khiến việc xác định ổ nguyên phát trở nên khó khăn. Các vị trí nguyên phát thường gặp của ung thư biểu mô tuyến bao gồm: phổi, tụy, vú, tuyến tiền liệt, dạ dày, gan và đại tràng
Ung thư biểu mô kém biệt hóa
Khoảng 20–30% các trường hợp UTKRNP có chứa các tế bào ung thư kém biệt hóa. Những tế bào này không còn mang đặc điểm của tế bào bình thường và thường có tính chất ác tính cao hơn so với các loại ung thư khác.
Một số xét nghiệm chuyên biệt có thể gợi ý khối u xuất phát từ tế bào lympho, tế bào da, tế bào thần kinh - nội tiết (có chức năng tiết hormone) hoặc các loại tế bào chuyên biệt khác. Tuy nhiên, do các tế bào ung thư kém biệt hóa biến đổi quá nhiều so với tế bào bình thường, bác sĩ thường không thể xác định được loại tế bào nguyên thủy.
Ung thư biểu mô tế bào vảy
Ung thư biểu mô tế bào vảy chiếm dưới 10% tổng số các trường hợp UTKRNP. Khối u được cấu tạo từ các tế bào biểu mô lát tầng – loại tế bào phẳng thường gặp trên bề mặt da và trong lớp biểu mô lót của một số cơ quan, điển hình như khoang miệng và thực quản. Một số bệnh ung thư phổi cũng là ung thư biểu mô tế bào vảy.
Ung thư biểu mô thần kinh – nội tiết
Một số trường hợp UTKRNP có chứa các tế bào thần kinh – nội tiết. Đây là một nhóm tế bào rất đa dạng, có khả năng chứa hoặc sản xuất hormone. Ung thư biểu mô thần kinh – nội tiết có thể khởi phát ở hầu hết các cơ quan trong cơ thể, do đó việc xác định ổ nguyên phát thường gặp nhiều khó khăn.
Triệu chứng của UTKRNP
Triệu chứng của UTKRNP thường thấy ở vị trí có khối u, chẳng hạn như phổi, gan, xương hoặc hạch bạch huyết. Tuy nhiên, một số bệnh nhân hoàn toàn không có triệu chứng và chỉ được chẩn đoán ung thư sau khi thực hiện xét nghiệm cận lâm sàng hoặc chẩn đoán hình ảnh cho một bệnh lý khác. Ngoài ra, cũng có những bệnh nhân xuất hiện các triệu chứng không đặc hiệu, có thể gặp trong nhiều tình trạng bệnh lý khác nhau.
Nếu có triệu chứng, chúng có thể bao gồm:
- Đau khu trú tại một vùng cơ thể, chẳng hạn như ngực, bụng hoặc xương
- Chán ăn
- Sụt cân
- Xuất hiện khối bất thường ở bất kỳ vị trí nào trên cơ thể, bao gồm cả hạch bạch huyết
- Ho kéo dài hoặc khàn tiếng
- Thay đổi thói quen đại tiện hoặc tiểu tiện
- Sốt kéo dài hoặc đổ mồ hôi đêm
Chẩn đoán UTKRNP
Đầu tiên, mô khối u thu được từ sinh thiết hoặc phẫu thuật sẽ được bác sĩ giải phẫu bệnh phân tích. Sau đó, bác sĩ lâm sàng sẽ xem xét lại các kết quả cận lâm sàng và thăm dò đã được thực hiện trước đó trên bệnh nhân. Nhóm chăm sóc có thể chỉ định thêm các xét nghiệm bổ sung nhằm hỗ trợ xác định ổ nguyên phát của bệnh.
Đôi khi, bác sĩ có thể xác định được ổ nguyên phát tiềm năng dựa trên một số đặc điểm mô bệnh học của khối u cũng như vị trí tổn thương trong cơ thể. Các tình huống thường gặp bao gồm:
- Ở phụ nữ, ung thư biểu mô tuyến phát hiện tại hạch nách thường gợi ý ung thư vú. Chụp nhũ ảnh và thăm khám vú có thể hỗ trợ chẩn đoán.
- Ở nam giới trẻ tuổi, khối u trong ổ bụng có thể gợi ý ung thư tinh hoàn.
- Ở bệnh nhân có hạch to vùng cổ hoặc phần trên cơ thể, ổ nguyên phát thường là ung thư vùng đầu – cổ.
- Ở bệnh nhân có khối u đơn độc tại gan, ung thư đường mật trong gan có thể là ổ nguyên phát.
- Ở nam giới có tổn thương ung thư tại các hạch vùng bẹn hoặc vùng chậu, ổ nguyên phát có thể là ung thư tuyến tiền liệt, ung thư dương vật hoặc ung thư hậu môn.
- Ở phụ nữ có hạch vùng bẹn to, phát hiện này có thể gợi ý ung thư cổ tử cung hoặc ung thư âm đạo.
Tuy nhiên, ở nhiều bệnh nhân, khối u nguyên phát vẫn không thể xác định được. Trong những trường hợp này, chẩn đoán tập trung vào việc xác định vị trí khối u và loại tế bào cấu thành khối u nhằm xây dựng kế hoạch điều trị phù hợp.
Đối với đa số bệnh nhân mắc UTKRNP, bác sĩ dựa trên thông tin thu được từ các xét nghiệm máu, chẩn đoán hình ảnh, phân tích phân tử và xét nghiệm mô bệnh học để hiểu rõ hơn về khối u. Các xét nghiệm bổ sung có thể cần thiết để xác định đặc điểm tế bào trong khối u. Trên cơ sở những kết quả này, bác sĩ có thể đưa ra phác đồ điều trị tối ưu cho người bệnh.
Chẩn đoán hình ảnh
Bác sĩ sử dụng các kỹ thuật chẩn đoán hình ảnh tiên tiến nhằm tạo ra hình ảnh có độ phân giải cao của khối u. Các hình ảnh này cho phép xác định chính xác vị trí khối u cũng như đánh giá sự lan rộng của ung thư trong cơ thể. Ngoài ra, chẩn đoán hình ảnh còn cung cấp thông tin về kích thước và mật độ của khối u, từ đó hỗ trợ xây dựng kế hoạch điều trị tối ưu. Bệnh nhân có thể được chỉ định một hoặc nhiều kỹ thuật chẩn đoán hình ảnh sau đây:
Chụp cắt lớp vi tính (chụp CT)
Kỹ thuật CT sử dụng tia X để tái tạo hình ảnh, cho phép xác định vị trí và kích thước của khối u hoặc nhiều khối u, cũng như đánh giá khả năng di căn của khối u đến hạch bạch huyết hoặc các cơ quan khác.
Siêu âm
Sóng âm cao tần được sử dụng để xác định vị trí và số lượng khối u trong cơ thể. Siêu âm cũng giúp phân biệt khối u ác tính với khối u lành tính.
Chụp cắt lớp phát xạ positron (chụp PET)
Trước khi tiến hành chụp PET, bệnh nhân sẽ được tiêm một lượng nhỏ thuốc phóng xạ (chứa đường). Do tế bào ung thư hấp thụ đường nhanh hơn so với tế bào bình thường, chất này sẽ làm nổi bật các tế bào ung thư trên hình ảnh PET. PET thường được kết hợp với CT (PET/CT) nhằm phát hiện những vùng trong cơ thể mà ung thư chưa rõ ổ nguyên phát đã di căn, ngay cả khi vị trí u nguyên phát chưa được xác định.

Hình 1: Sử dụng PET/CT để xác định vị trí những khối u di căn chưa rõ nguyên phát . Nguồn: https://doctorlib.org/oncology/nuclear-oncology/26.html
Sinh thiết
Sinh thiết (là thủ thuật lấy một phần mô hoặc dịch khối u để quan sát dưới kính hiển vi) thường được thực hiện nhằm chẩn đoán xác định UTKRNP, đồng thời thu thập tế bào để nghiên cứu sâu hơn. Bác sĩ giải phẫu bệnh sẽ phân tích mẫu sinh thiết để xác định loại tế bào liên quan. Tùy thuộc vào vị trí khối u, bác sĩ có thể tiến hành một hoặc nhiều loại sinh thiết sau đây:
Sinh thiết kim lõi
Một kim lớn sẽ được đưa trực tiếp vào khối u để lấy mẫu mô phục vụ cho các xét nghiệm giải phẫu bệnh chuyên sâu. Các kỹ thuật chẩn đoán hình ảnh có thể được sử dụng để định vị và dẫn đường cho kim. Sinh thiết kim lõi thường được thực hiện với việc gây tê tại chỗ.
Chọc hút kim nhỏ
Một kim nhỏ hơn được sử dụng trong quá trình sinh thiết kim lõi nhằm hút mẫu tế bào hoặc dịch để quan sát dưới kính hiển vi. Mẫu sinh thiết này cũng có thể được sử dụng cho các nghiên cứu bổ sung tại phòng thí nghiệm.
Sinh thiết trong phẫu thuật
Trong phương pháp này, bác sĩ phẫu thuật sẽ cắt bỏ một phần hoặc toàn bộ khối u hoặc hạch bạch huyết bị tổn thương. Nếu khối u hoặc hạch nằm trong lồng ngực hoặc ổ bụng, thủ thuật sẽ được tiến hành với việc gây mê toàn thân.
Xét nghiệm Giải phẫu bệnh
Trong nhiều trường hợp, các xét nghiệm thường quy tại phòng thí nghiệm không cung cấp đủ thông tin về UTKRNP để xác định hoặc thu hẹp vị trí có khả năng là nguyên phát. Các bác sĩ giải phẫu bệnh có thể căn cứ vào hình thái mô và tế bào để đưa gợi ý loại ung thư nhất định.
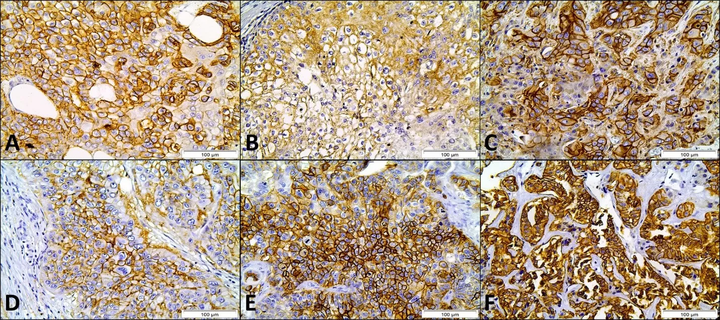
Các bác sĩ giải phẫu bệnh sẽ sử dụng nhiều xét nghiệm chuyên sâu để xác định những thông tin quan trọng về loại khối u cũng như cách khối u sẽ đáp ứng với điều trị. Các xét nghiệm này bao gồm các kỹ thuật sử dụng kháng thể nhằm phát hiện các protein được sản xuất bởi một số loại khối u nhất định.

Hình 2: Sử dụng hóa mô miễn dịch để xác định UTKRNP. Nguồn: https://www.frontiersin.org/journals/oncology/articles/10.3389/fonc.2021.682665/full
Các phương pháp điều trị UTKRNP
Do đặc điểm của UTKRNP (UTKRNP) là bệnh đã di căn từ một ổ nguyên phát, nên khi được chẩn đoán, hầu hết người bệnh đều đã ở giai đoạn ung thư tiến triển. Hiện chưa có phác đồ điều trị chuẩn hóa cho UTKRNP, tuy nhiên hóa trị thường là phương pháp điều trị chính.
Thuốc hóa trị có thể được sử dụng qua đường truyền tĩnh mạch hoặc dạng uống, giúp tiêu diệt tế bào ung thư trong toàn bộ cơ thể, bao gồm cả những vị trí mà khối u chưa được phát hiện. Hóa trị thường được áp dụng nhằm làm nhỏ khối u và giảm nhẹ các triệu chứng do ung thư gây ra. Trong một số ít trường hợp, hóa trị có thể loại bỏ hoàn toàn khối u, khiến bệnh nhân không cần thêm điều trị nào khác.
Bác sĩ sẽ lựa chọn phác đồ hóa trị phù hợp với cơ quan hoặc bộ phận cơ thể có khả năng là nơi khởi phát ung thư. Ngay cả khi không xác định được vị trí nguyên phát, bác sĩ vẫn sẽ cá thể hóa phác đồ hóa trị dựa trên đặc điểm mô học của tế bào ung thư, vị trí di căn và tình trạng sức khỏe tổng quát của từng bệnh nhân.
Phẫu thuật thường là phương pháp điều trị ưu tiên đối với những bệnh nhân có khối u khu trú tại cơ quan khởi phát. Tuy nhiên, do UTKRNP thường đã di căn khi được chẩn đoán, nên phẫu thuật hiếm khi có thể chữa khỏi bệnh hoàn toàn.
Trong trường hợp khối u chưa rõ nguyên phát chỉ xuất hiện ở một cơ quan hoặc một hạch bạch huyết, hoặc khi có triệu chứng đặc hiệu liên quan đến vị trí của khối u, bác sĩ có thể chỉ định phẫu thuật. Nếu nghi ngờ ung thư bắt nguồn từ tuyến vú, phẫu thuật cắt bỏ vú có thể được chỉ định nhằm đảm bảo loại bỏ toàn bộ tế bào ung thư vú. Sau khi phẫu thuật cho UTKRNP, hóa trị hoặc xạ trị sẽ được áp dụng để tiêu diệt những tế bào ung thư còn sót lại, nâng cao hiệu quả điều trị.
Xạ trị chỉ được sử dụng để kiểm soát những khối u không thể phẫu thuật cắt bỏ, hoặc trong trường hợp UTKRNP đã di căn đến cột sống và gây ảnh hưởng đến chức năng thần kinh.
Liệu pháp nhắm trúng đích và Liệu pháp miễn dịch: Xét nghiệm di truyền có thể giúp bác sĩ xác định những người có khối u có khả năng đáp ứng với liệu pháp miễn dịch hoặc liệu pháp nhắm trúng đích, thường được thực hiện trong khuôn khổ thử nghiệm lâm sàng.
Nguồn: Trung tâm ung thư Memorial Sloan Kettering
Đường dẫn: https://www.mskcc.org/cancer-care/types/cancer-unknown-primary-origin
Biên dịch: ThS.DS. Điều Thị Ngọc Châu và DS. Chu Hà My, Khoa Dược, Bệnh viện Ung bướu Hà Nội
Hiệu đính: ThS.BS. Nguyễn Thanh Hằng, Phòng HTQT-NCKH



















