Xét nghiệm chẩn đoán hình ảnh là gì?
Xét nghiệm chẩn đoán hình ảnh là phương pháp thăm khám giúp bác sĩ đánh giá các cơ quan trong cơ thể bạn. Các xét nghiệm này sử dụng các sóng năng lượng đặc biệt hoặc tia (như tia X, sóng siêu âm, hạt phóng xạ hoặc từ trường) xuyên qua cơ thể. Các cơ quan trong cơ thể sẽ làm thay đổi hình thái các năng lượng này tạo ra hình ảnh. Những hình ảnh này cho thấy cấu trúc và chức năng của các cơ quan, giúp phát hiện các thay đổi về hình thái và chức năng của các cơ quan, các thay đổi này có thể do bệnh lý như ung thư gây ra.
Các xét nghiệm chẩn đoán hình ảnh được dùng để làm gì?
Các xét nghiệm chẩn đoán hình ảnh được sử dụng trong chẩn đoán và điều trị ung thư với nhiều mục đích:
- Đôi khi, chúng được dùng để tìm các tổn thương ung thư ở giai đoạn sớm (khi khối u còn nhỏ và chưa lan rộng), ngay cả khi người bệnh chưa có triệu chứng. Phương thức chẩn đoán này được gọi là phát xếp vào các xét nghiệm phát hiện sớm hoặc tầm soát sàng lọc ung thư.
- Các xét nghiệm này dùng để phát hiện tổn thương (khối u) khi người bệnh có triệu chứng. Xét nghiệm chẩn đoán hình ảnh giúp phát hiện nguyên nhân gây ra triệu chứng là do ung thư hay do bệnh lý khác gây ra.

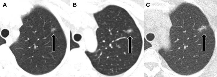
Hình 1: Hình ảnh chụp CT phổi liều thấp tầm soát và theo dõi nốt ở phổi ở một bệnh nhân nữ 36 tuổi khoẻ mạnh.
https://www.jto.org/article/S1556-0864%2819%2930368-5/fulltext
- Trong một số trường hợp, xét nghiệm hình ảnh có thể giúp dự đoán một khối u có khả năng là ung thư không. Điều này giúp bác sĩ quyết định có cần sinh thiết hay không. Sinh thiết là thủ thuật lấy một mẩu mô nhỏ để soi dưới kính hiển vi. Sinh thiết hầu như luôn luôn cần thiết để chẩn đoán xác định khối u hay tổn thương có phải ung thư không.
- Xác định vị trí khối u: Ngay cả khi khối u nằm sâu trong cơ thể, các xét nghiệm hình ảnh vẫn giúp xác định chính xác vị trí để Hướng dẫn và định hướng cho sinh thiết.
- Các xét nghiệm chẩn đoán hình ảnh có thể giúp xác định mức độ lan rộng và xâm lấn của ung thư.
- Lập kế hoạch điều trị: ví dụ, xác định vị trí cơ thể cần chiếu xạ trong xạ trị.
- Cho thấy khối u đã thu nhỏ, giữ nguyên hay tăng kích thước. Điều này giúp bác sĩ điều trị đánh giá được hiệu quả của việc điều trị.
- Giúp phát hiện ung thư tái phát sau điều trị.
Xét nghiệm chẩn đoán hình ảnh chỉ là một phần trong quá trình chẩn đoán và điều trị ung thư. Đánh giá toàn diện còn bao gồm khai thác tiền sử bệnh (các câu hỏi về triệu chứng và yếu tố nguy cơ), khám lâm sàng, xét nghiệm máu và các xét nghiệm cận lâm sàng khác.
Các bác sĩ thường chỉ định chụp Xquang hoặc các xét nghiệm chẩn đoán hình ảnh khác trước khi bắt đầu điều trị. Những hình ảnh ban đầu này dùng để so sánh với các hình ảnh sau này nhằm theo dõi tiến triển điều trị.
Giới hạn của các xét nghiệm chẩn đoán hình ảnh
Xét nghiệm hình ảnh rất hữu ích, nhưng cũng có giới hạn. Ví dụ, trong hầu hết trường hợp nếu chỉ dùng các xét nghiệm chẩn đoán hình ảnh thì không thể chẩn đoán xác định những thay đổi trong cơ thể là do ung thư hay do bệnh lý khác.
Các xét nghiệm chẩn đoán hình ảnh không phát hiện được tế bào ung thư riêng lẻ hoặc thậm chí một số lượng tế bào ung thư. Thực tế phải có hàng triệu tế bào mới có thể tạo thành một khối u đủ lớn để nhìn thấy được bằng chẩn đoán hình ảnh Vì thế, dù không còn thấy khối u trên phim chụp , điều trị vẫn có thể phải tiếp tục nhằm tiêu diệt mọi tế bào ung thư còn sót lại, vì chỉ một tế bào cũng có thể phát triển thành khối u mới.
Mặt khác, đôi khi xét nghiệm hình ảnh cho thấy tổn thương có tính chất giống tổn thương ung thư, nhưng sinh thiết lại cho kết quả không phải là ung thư.
Ai thực hiện chụp và ai đọc kết quả chẩn đoán hình ảnh?
Bác sĩ, kỹ thuật viên hoặc nhân viên y tế được đào tạo và có chứng chỉ hành nghề có thể thực hiện các xét nghiệm chẩn đoán hình ảnh. Các xét nghiệm này có thể được thực hiện tại bệnh viện, phòng khám chuyên khoa, trung tâm chẩn đoán hình ảnh hoặc phòng khám tư. Trong các cơ sở y tế lớn, các xét nghiệm hình ảnh thường được thực hiện tại khoa chẩn đoán hình ảnh hoặc khoa y học hạt nhân.
Bác sĩ chẩn đoán hình ảnh là ai?
Bác sĩ chẩn đoán hình ảnh là bác sĩ chuyên khoa trong lĩnh vực kỹ thuật - hình ảnh y học. Họ là người đọc, phân tích các hình ảnh thu được, sau đó ghi nhận các tổn thương vào kết quả và gửi cho bác sĩ điều trị của bệnh nhân. Kết quả chẩn đoán hình ảnh này sẽ được lưu trữ trong hồ sơ bệnh án. Các bác sĩ điều trị (như bác sĩ ung bướu, bác sĩ phẫu thuật…) cũng có thể xem và đánh giá hình ảnh.
Các loại xét nghiệm chẩn đoán hình ảnh
Có nhiều loại kỹ thuật chẩn đoán hình ảnh được sử dụng để đánh giá các tổn thương. Một số loại phổ biến bao gồm:
- Chụp cắt lớp vi tính (CT)
- Chụp cộng hưởng từ (MRI)
- Cộng hưởng từ vú (Breast MRI)
- X-quang
- Nhũ ảnh – hay XQ tuyến vú (Mammography)
- Các kỹ thuật y học hạt nhân (chụp xạ hình xương, PET, xạ hình tuyến giáp, MUGA, Gallium…)
- Siêu âm

Nguồn: https://www.touchstoneimaging.com/6-doctors-who-rely-on-medical-imaging/
Việc bác sĩ chỉ định loại xét nghiệm nào tùy thuộc vào nhiều yếu tố như:
- Vị trí và loại khối u. Một số xét nghiệm chẩn đoán hình ảnh hiệu quả hơn cho một số vùng nhất định của cơ thể
- Có cần sinh thiết tổn thương hay không
- Tuổi, giới tính và tình trạng sức khỏe của người bệnh
- Cân nhắc giữa lợi ích thu được và nguy cơ/tác dụng phụ có thể gặp
- Lựa chọn của người bệnh
- Chi phí
Nếu bạn có bất kỳ câu hỏi nào về một xét nghiệm mà bác sĩ chỉ định, hãy trao đổi trực tiếp với bác sĩ. Bạn có thể yêu cầu bác sĩ giải thích lý do cần làm xét nghiệm, xét nghiệm có thể phát hiện điều gì, lợi ích và rủi ro, và có lựa chọn thay thế nào không? Hãy hỏi rõ về chi phí xét nghiệm. Bảo hiểm có chi trả cho xét nghiệm này hay không? Có cần phải xin phê duyệt trước từ bảo hiểm không?
Bệnh viện Ung Bướu Hà Nội, tháng 09/2025
Nguồn: Hiệp hội Ung thư Hoa Kỳ
Đường dẫn:
Biên dịch: ThS. BSNT. Nguyễn Hà Khương - Khoa chẩn đoán hình ảnh, Bệnh viện Ung Bướu Hà Nội
Hiệu đính: ThS. BS. Nguyễn Thanh Hằng – Phòng HTQT-NCKH



















